cardp1@carden-dental.co.uk
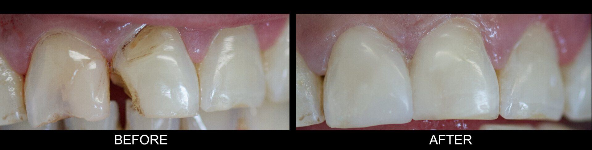
Smile restorations by Dr. Michal Nohawica
Oops, there was an error sending your query.
Please try again later